ที่

รากฟันเทียม

ระบบดิจิตอล

เมษาคลินิกทันตกรรม

ทดแทนฟันที่สูญเสีย

กลับมายิ้มได้อย่างมั่นใจอีกครั้ง

คุณกำลังพบปัญหาเหล่านี้...

อยู่หรือไม่?

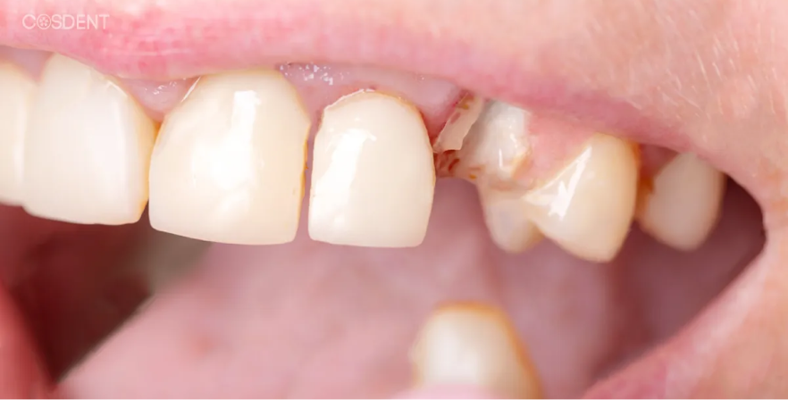
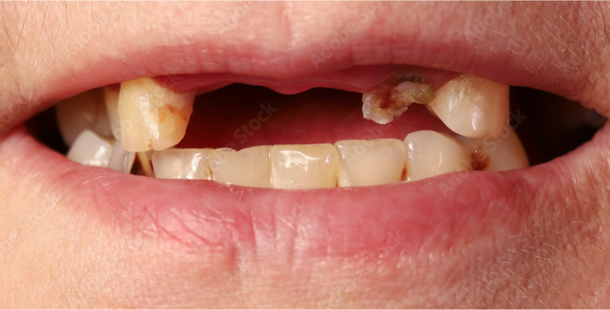
ผู้ที่เสียฟันและมีช่องว่าง

สำหรับผู้ที่ถอนฟัน หรือสูญเสียฟันหลายซี่

ผู้ที่ฟันแตกหัก

เมื่อฟันไม่สามารถบูรณะ หรืออุดได้อีกต่อไป

ผู้ที่ไม่อยากใส่ฟันปลอม

สำหรับผู้ที่ต้องการทางเลือกถาวรแทนฟันปลอม

ปัญหาเหล่านี้แก้ได้ด้วย

รากฟันเทียม

ทำไมต้องทำรากฟันเทียมที่

เมษาคลินิกทันตกรรม

เทคโนโลยีครบครัน
และทันสมัย

คลินิกใช้เครื่องมือดิจิทัล เช่น X-ray 2D, 3D (CBCT) และเครื่องสแกนในช่องปาก (Intraoral Scanner – TRIOS) ที่ช่วยให้วินิจฉัยแม่นยำและรักษา ได้รวดเร็วขึ้น

สะดวกสบายด้วย
การปรึกษาออนไลน์

ผู้ป่วยสามารถนัดปรึกษาทันตแพทย์ผ่าน Google Meeting ได้ ไม่ต้องเดินทางมาเองทุกครั้ง ประหยัดเวลาและเหมาะกับ คนทำงานหรืออยู่ต่างจังหวัด

ทีมทันตแพทย์เฉพาะทาง
ดูแลใกล้ชิด มั่นใจตลอดการรักษา

ได้รับการดูแลจากทีมทันตแพทย์ ที่ใส่ใจทุกรายละเอียด ตั้งแต่การ ตรวจวินิจฉัย วางแผนรักษา ไปจนถึงการติดตามผล ทำให้ มั่นใจในคุณภาพและความปลอดภัย

ดูแลโดยทันตแพทย์เฉพาะทาง

หมออาร์ม

ทพ. ธราปัฐพ์ มาลากุล ณ อยุธยา

Dr. Tharapatt Malakul Na Ayutthaya

ทันตกรรมประดิษฐ์

(Prosthodontist)

เทคโนโลยีครบครันและทันสมัย

คลินิกใช้เครื่องมือดิจิทัล
ในการรักษา

CBCT (X-ray 2D, 3D)

Intraoral Scanner(Trios)

3 Shape Smile Design

Implant Studio

ขั้นตอนการทำ

รากฟันเทียม

ระบบดิจิตอล

รวมเคสรีวิว

โดยทันตแพทย์เฉพาะทาง

Full mouth Rehabilitation

เคสบูรณะฟันสึกทั้งปาก

ได้รับความไว้วางใจ

จากคนไข้อีกมากมาย

Package

รากฟันเทียม

รวมครอบฟัน

แบ่งชำระได้ 3 ครั้ง

*เงื่อนไขเป็นไปตามที่คลินิกกำหนด

ติดต่อเรา

เมษาคลินิกทันตกรรม

MAYSA DENTAL

Register

Enjoy exclusive perks first

Contact Form Implant
Scroll to Top